PiTM de Lucida Medical

null

PiTM de Lucida Medical

Lucida Medical desarrolla software de ayuda a los radiólogos para detección del cáncer de próstata por medio de inteligencia artificial (IA) e imágenes de resonancia magnética.

Pi™, Prostate Intelligence™:
sistema de machine learning

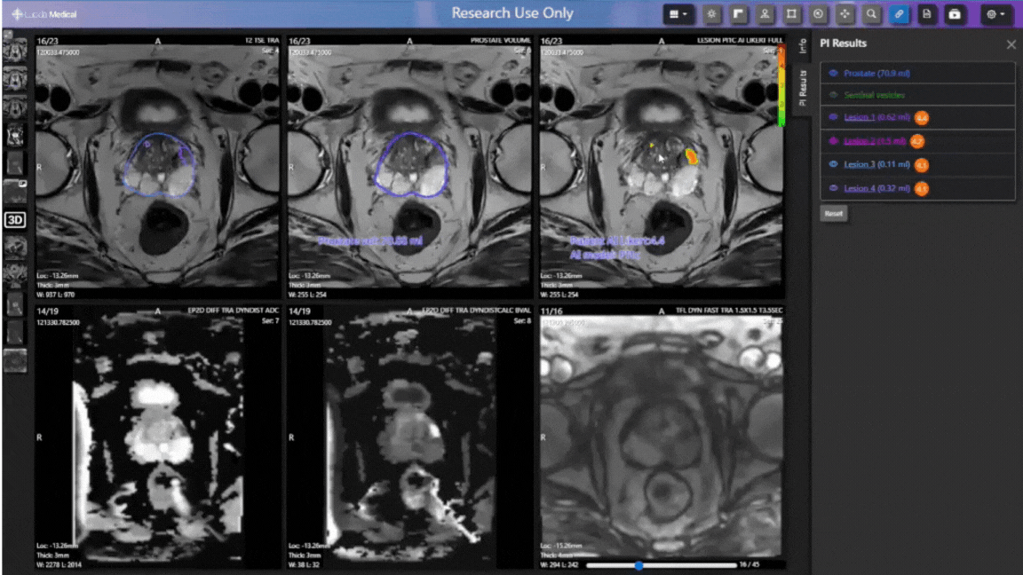
Pi™, Prostate Intelligence™ es un sistema de machine learning, diseñado como soporte de los especialistas de imagen para localizar la presencia de lesiones y la detección del cáncer de próstata. Sus análisis se muestran en un informe y en el PACS desde el fueron enviadas las imágenes de resonancia magnética.

Pi™, Prostate Intelligence™ de Lucida Medical
mejora la interpretación de imágenes de RM

Pi mejora la interpretación de los radiólogos:

null

Selección/priorización de biopsia: la puntuación de riesgo puede emplearse para reducir las biopsias innecesarias y el sobrediagnóstico de cáncer de próstata sin importancia. Así, permite agilizar el flujo de trabajo o las listas de espera, ayudando a los radiólogos con la carga de trabajo.

null

Identificación de objetivos para la biopsia: contribuye a asegurar que se tienen en cuenta todas las áreas de sospecha para reducir el número de cánceres de próstata no detectados mediante la discriminación de las regiones candidatas de interés.

null

Segmentaciones de alta calidad: la generación de segmentaciones automáticas, comparables a las anotaciones de expertos humanos, facilita la visualización, el análisis y la selección de biopsias en el proceso de detección del cáncer de próstata.

Para más información o solicitar una presentación, puede dejarnos los datos.

COMIENCE A ESCRIBIR Y PRESIONE ENTRAR PARA BUSCAR